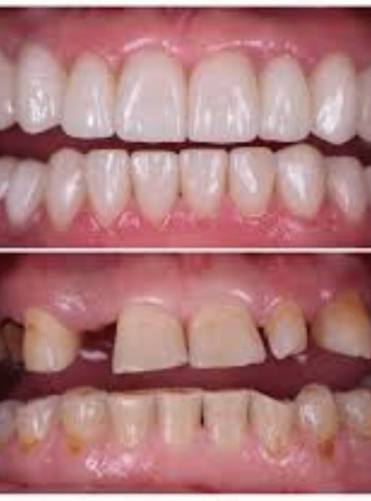
Dentures & Partial Dentures
Restore your smile and confidence with custom-made dentures designed to replace missing teeth and support natural facial structure. Crafted for comfort and aesthetics, dentures provide a durable, natural-looking solution for a complete and healthy smile.
What We Offer
What We Offer for Your Dentures & Partial Dentures
We offer complete and partial dentures that restore function, enhance your appearance, and provide long-lasting comfort for everyday confidence.
Complete Dentures
Designed for patients missing all teeth in an arch, complete dentures provide full restoration, offering a natural look and comfortable fit for daily use.
Partial Dentures
Ideal for those missing several teeth, partial dentures fill gaps and prevent remaining teeth from shifting, maintaining proper bite alignment.
Long-Lasting Durability
Each denture is custom-crafted to match your facial features and tooth shade, resulting in a balanced, beautiful, and confident smile.
Comfortable Fit
Our dentures are precisely measured and adjusted to ensure a secure, natural feel that makes speaking and eating easy and comfortable.
Easy Maintenance
Simple cleaning and regular checkups help your dentures stay fresh, functional, and beautiful for years with minimal upkeep.
Enhanced Oral Function
Dentures not only restore your ability to chew and speak properly but also support facial structure, preventing sagging or wrinkles.
Everything You Need to Know
Frequently Asked Questions
How often should I get a checkup and cleaning?
Most patients do well with visits every 6 months. If you have gum disease, braces, or higher cavity risk, we may recommend every 3–4 months.
Are dental X-rays safe? How often are they taken?
Yes—our digital X-rays use very low radiation and are taken only when needed. New patients often get a full set for baseline; afterward, small bitewings are typically once or twice a year, based on your risk.
Do you accept insurance, Medicaid/Medicare/CHIP, and what are my payment options?
We accept most major plans plus Medicaid, Medicare, and CHIP. We file claims for you and estimate co-pays. You can pay with cash, checks, Visa/MasterCard/Discover, or CareCredit® financing (no-interest and extended plans).
I’m nervous about dental visits—how do you keep me comfortable?
Our team focuses on gentle, compassionate care. We explain each step, use modern tools for efficient treatment, and tailor visits to your comfort level—especially for routine cleanings and exams.
What preventive treatments do you offer, and who benefits most?
We provide cleanings, exams, digital X-rays, fluoride, and sealants. Kids and cavity-prone adults especially benefit, but prevention helps everyone avoid costly problems and keep a confident, healthy smile.
Testimonials
Our Happy Customers
Join thousands of happy patients who trust us for gentle, expert care and beautiful smiles. Your perfect dental experience starts here!
Michael S.
Customer
“Exceptionally gentle and professional—my cleaning was so comfortable the time flew by!”
Robert L.
Customer
“Invisalign® made a visible difference in just a few months. Clear process, no hassle.”
Jake M.
Customer
“Super kid-friendly! My daughter wasn’t scared at all on her first visit.”
Alex P.
Customer
“The 3D scan pinpointed the issue and treatment was quick. Love the modern tech.”
Carlos R.
Customer
“Severe toothache—got a same-day visit and real relief in one appointment.”
Edward B.
Customer
“Whitening results look bright yet natural, and I had zero sensitivity.”
Daniel H.
Customer
“Financing with CareCredit was easy; pricing was clear and the staff guided me well.”
Bryan G.
Customer
“My implant feels completely natural—chewing is confident again. Expert surgery and great follow-up.”